O tym, jak groźne może być niefrasobliwe zachowanie hodowców zwierząt egzotycznych, świadczy przykład Stanów Zjednoczonych, gdzie gatunki obce zagrażają całym ekosystemom.
USA. – Myślę, że to, co jest najistotniejsze, sojusz polsko-amerykański, zostało podtrzymany – ocenił swoją wizytę w Stanach Zjednoczonych prezydent Lech Kaczyński.
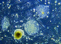
USA. Wbrew apelowi Kościoła katolickiego Kongres Stanów Zjednoczonych zezwolił 11 stycznia na wykorzystywanie komórek macierzystych pobranych od embrionów do badań naukowych.
W Stanach Zjednoczonych trwa Ogólnokrajowy Tydzień Małżeństwa. Organizuje go koalicja złożona z grup różnych wyznań i religii, walczących o umocnienie małżeństwa.
Od odwiedzenia Bostonu rozpoczął w poniedziałek kilkudniową wizytę w Stanach Zjednoczonych minister spraw zagranicznych Radosław Sikorski. W czwartek ma spotkać się w Waszyngtonie z sekretarz stanu USA Hillary Clinton.
Izba Reprezentantów Stanów Zjednoczonych zatwierdziła projekt ustawy, który powołuje w ramach Departamentu Stanu: Urząd do spraw Kobiet. Demokraci są przekonani, że ustawa będzie promować prawa kobiet na całym świecie.
PO, PSL i SLD opowiedziały się w czwartkowej debacie za postawieniem b. ministra sprawiedliwości, prokuratora generalnego Zbigniewa Ziobry przed Trybunałem Stanu. Przeciw były PiS i Zjednoczona Prawica. O losach wniosku Sejm zdecyduje w piątkowych głosowaniach.
Stany Zjednoczone dostarczą Gruzji pomoc wojskową, lecz nie mają zamiaru rozmieszczać elementów tarczy antyrakietowej na terytorium tej byłej sowieckiej republiki - oświadczyła w środę w Moskwie amerykańska sekretarz stanu Hillary Clinton.
W Stanach Zjednoczonych zamordowano dominikanina. 70-letni ks. Edward E. Everitt OP, został zastrzelony w domku letniskowym, w miejscowości Waveland, w stanie Misisssippi. Ciało duchownego znalazła pokojówka 11 lipca rano.
Ceny ropy naftowej spadły w reakcji na wzrost zapasów tego surowca w Stanach Zjednoczonych, co jest interpretowane jako oznaka słabości gospodarki.